No waiting list. Limited slots available
Private Kids Braces –
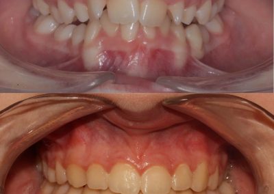
Straight Smiles, No Waiting

Get expert orthodontic care from Henry James with flexible appointments and a clear, simple payment plan.
Get expert orthodontic treatment for just £3,000
No upfront payment
Pay as you go over the course of treatment
Get started for just £99
Why Parents Trust Park Dental’s Orthodontic Care
Flexible Appointments
Designed for Busy Parents & Kids
No Waiting List
Begin Treatment Right Away
Clear Payment Structure – No Surprises
Pay just £375 per visit across 8 appointments
Private, Personalised Care for Your Child
Expert attention in a calm, child-friendly setting
Transparent Pricing – No Surprises
All-inclusive price of £3000
Pay just £99 for your first visit
Total cost is £3000

Meet Dr Henry James – Expert in Orthodontic Care
With years of experience treating children and teens, Henry James delivers gentle, effective results in a welcoming environment.
Originally from Swansea, Henry qualified in 2017 from the University of Birmingham alongside his wife Lucy and has worked in the midlands ever since, finally settling in Lichfield. Henry has gone on to achieve post graduate qualifications in endodontics and orthodontics which he has incorporated into his work as a general dentist. Henry enjoys working with patients, helping to tailor treatment plans to each patient’s specific needs.
Outside of dentistry Henry enjoys sport, particularly football and rugby, as well as travelling the world and exploring new countries and cultures. However, recently most of his time is spent looking after hisyoung daughter.
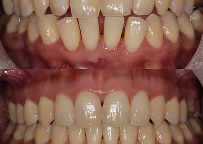
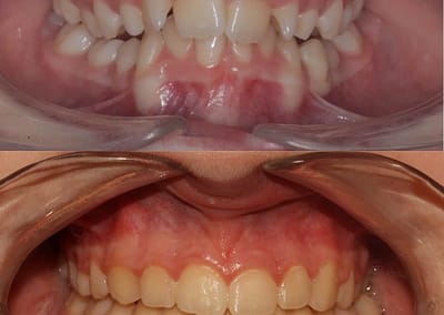
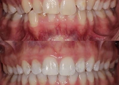
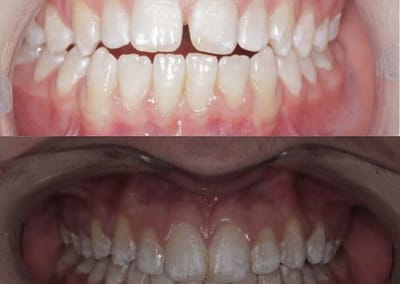
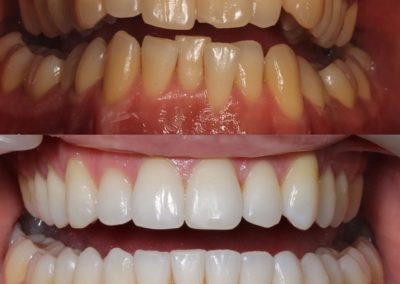
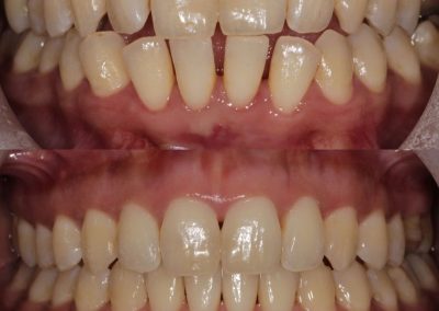
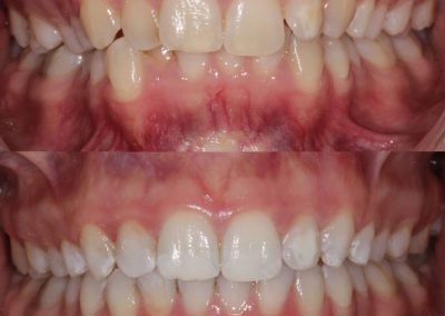
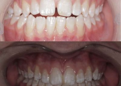
Because Your Smile Deserves the Best







0 Comments